Composite veneers and porcelain teeth veneers
Are you looking for something simple to brighten up your smile?
We believe you have already heard about veneers and probably you wonder how teeth with veneers look like.
To make sure there is no confusion in word expressions, porcelain veneers are called exactly that way – porcelain veneers. But in the following text we will also use expressions that you search for and use in every day – teeth with veneers, porcelain teeth veneers, teeth veneers etc.
We will also tell you a lot about composite veneers and differences between these two.
First, let us explain to you exactly what veneers are so that you can make difference in comparison to some other methods.
Porcelain teeth veneers are thin shells that are fixed on the front surfaces of the teeth in order to beautify the smile.
If you are searching for the least invasive method to change the color, shape or position of the teeth – you are in right place.
There are no many clinics in the world that can completely copy natural teeth appearance. Because it is very difficult to achieve. We are proud of that part of our work and would like to share it with you.


Teeth with veneers are minimally damaged and in some cases they are not ground at all.
Later in the text we will tell you about when it is possible to make porcelain teeth veneers without drilling of enamel.
So, you are wondering if veneers can correct the imperfections you have?
Well, porcelain teeth veneers can correct a lot, but still they have their limits..
You can do only minor corrections with porcelain teeth veneers, to cover worn teeth or you can change the entire smile. It all depends on what exactly you need.
On the picture you can see these teeth with veneers.
We closed the gaps between the teeth and nobody noticed that patient has done veneers.


Porcelain teeth veneers can also correct the position of crooked teeth to some extent.
Of course, we cannot correct larger overlaps or rotations of teeth with veneers. In such situations, we suggest invisalign foils prior to veneers which will correct the position of the teeth. And when we get the perfect alignment, it is easier to make nice veneers.
We often have requests from our patients to make their teeth with veneers longer or larger since their natural ones are too small and therefore unsightly.
Teeth with veneers on damaged teeth
What if your teeth are already drilled or they have a large fillings on them?
Well, in that case we won`t be able to do teeth with veneers but rather dental crowns.
But you shouldn`t worry about that. Even with zirconia crowns your smile can look beautiful. You can see it here.
Teeth with veneers should not have large fillings or be too damaged. Even if they are, we can still make beautiful smile with combination of porcelain teeth veneers and crowns. And nobody can notice the difference because we at the Queen clinic do it very well.
We are convinced that we will find solution to beautify your smile.
See what our patients say about us.
Sara CveticaninTrustindex verifies that the original source of the review is Google. My experience with this dental clinic, especially with the Invisalign treatment, has been absolutely wonderful. Today, I have a beautiful smile thanks to their professional and dedicated work. The entire process was pleasant, clear, and completely transparent. Dr. Isidora did an outstanding job, and I wholeheartedly recommend her. Ella EfimenkovaTrustindex verifies that the original source of the review is Google. Вы лучшие! Спасибо огромное коллективу стоматологии Queen за изумительное отношение к пациентам и великолепное качество работы! Meenakshi KapilTrustindex verifies that the original source of the review is Google. I had an amazing experience at Queen Dental Clinic. Dr. Miloš and the entire team were very professional and kind. I came with pain in my previously root canal treated tooth, and they quickly found the problem, explained everything clearly, and treated it perfectly. The clinic is super clean, modern, and everyone speaks excellent English, which made me feel very comfortable. My tooth feels completely fine now! Highly recommend this clinic to anyone looking for quality dental care in Belgrade. 💯🦷 MilicaTrustindex verifies that the original source of the review is Google. Imala sam strah od zubara, ali u ovoj ordinaciji taj strah je potpuno nestao. Već pri prvom dolasku dočekala me je topla i prijatna atmosfera a njihov pažljiv i nežan pristup ulio mi je ogromno poverenje. Toliko sam se opustila da sam jednom čak i zaspala na stolici tokom rada🙂 Danas odlazim bez trunke nervoze jer znam da sam u sigurnim i stručnim rukama. Profesionalni, ljubazni i posvećeni. Toplo preporučujem svima koji žele kvalitetnu i bezbolnu stomatološku negu. Posebnu zahvalnost dugujem dr Mireli i dr Milošu, za njihov osmeh, strpljenje, profesionalnost i toplinu kojom svaki dolazak pretvaraju u najprijatnije iskustvo. Darko MarkovTrustindex verifies that the original source of the review is Google. Pacijent sam ove ordinacije već više od 10 godina i uvek sam izlazio zadovoljan. Radio sam sve od čišćenja kamenca do zahtevnijih intervencija i uvek je sve urađeno bezbolno, temeljno i uz objašnjenje svakog koraka. Dr Mirela i ostatak ekipe su pažljivi, stručni i posvećeni, a atmosfera u ordinaciji je prijatna i opuštajuća. Zaista pružaju osećaj sigurnosti i poverenja. Preporučujem svima koji žele kvalitetnu i profesionalnu stomatološku negu. Milena LukicTrustindex verifies that the original source of the review is Google. The dentists in Queen Dental Clinic are highly skilled, take the time to explain procedures clearly, and always make me feel comfortable and well taken care of. The quality of care is excellent, and I fully trust their expertise and would highly recommend them to anyone looking for a reliable and professional dentist. Jelena MBTrustindex verifies that the original source of the review is Google. Kao i pre 7 godina, sa zadovoljstvom konstatujem da u ordinaciji radi isti tim doktora koji me je i tada kupio i obezbedio sve preporuke svojom strucnoscu, ljubaznoscu, razumevanjem i posvecenoscu resenju problema pacijenta. Sve pohvale timu na celu sa dr Mirelom, a posebna zahvalnost dr Milosu na pristupu koji je smrvio moj kukavicluk.Google rating score: 4.9 of 5, based on 133 reviews
Okay, you have all your teeth healthy but still would like some minor aesthetic changes?
I believe that many times you have stood in front of the mirror and observed what you would change in your smile. And it`s okay if these are only minor things and you don`t want to do all your teeth with veneers.
At Queen clinic you can do only one or couple of teeth with veneers and we will do our best to make sure that there is no difference compared to other natural teeth that you want to preserve.
An example is our patient from the previous picture. Maybe you thought that we made all her teeth with veneers, but it wasn`t the case. Porcelain teeth veneers are done only on the marked teeth and the rest are her natural intact teeth.

We know that one question bothers you all – does porcelain teeth veneers procedure hurt? It is understandable because no one likes to experience the pain and discomfort.
Don`t worry, you would be surprised how teeth with veneers procedure is painless and relatively simple procedure. It is possible (but in rare situations) that entire process can be performed absolutely without anesthesia.
It is because the teeth preparation (if there is any at all) is completed on the teeth surfaces which we call enamel. When we prepare the teeth with veneers we never go into the deeper parts which are more sensitive.
After cementation, tooth sensitivity may occur that lasts for a short time and passes spontaneously.
And if I want teeth with veneers, how many of tooth should be ground?
Well, we know you don`t want to ruin your teeth and neither do we. But sometimes we have to touch it a little.
If your teeth are small and placing a thin porcelain veneer will still look beautiful and natural we don`t have to drill them at all. Such veneers are called non prep veneers, which means that teeth with veneers haven`t been touched.
On the contrary, if you have large teeth, we should drill them a little in order to leave the space for porcelain veneers and to keep the final appearance natural.
If we place porcelain teeth veneers on large teeth without preparation, the final appearance will be oversized teeth and unattractive smile.
I believe you don`t want smile like that 🙂
Basically the way of production and aesthetic appearance of non prep veneers is the same as usual veneers. The difference is only in teeth preparation. We don`t prepare the teeth with non prep veneers since they are already small.
Porcelain teeth with veneers – procedure?
Just to clarify, the procedure of making porcelain teeth veneers is not the simplest procedure in the world, but it is not extremely complicated neither. Although they are thin shells and “only glued” to the surface of the teeth, in the background there is a delicate job to get a perfect smile.
Porcelain teeth veneers are quite sensitive and in order to be long-lasting, they must be properly planned.
We combine art and engineering, because your teeth with veneers not only have to be beautiful, but also long-lasting and resistant.
The first step is planning of teeth with veneers
Before we start we plan the future appearance and smile with the special wax up techniques. Photography is of course indispensable part of this process.
It means that you tell us your desires, show us the pictures of the teeth you like, we transfer that on your teeth temporarily and analyze the situation. Corrections if needed are made in that stadium.
You should know that not only teeth but also the gum influences the appearance and the beauty of your smile. People who are not dentists don`t notice it at the beginning. They just see something is wrong but can`t figure out what exactly.
We will introduce you to our small secrets that leads to beautiful smile so you can better understand entire process of making teeth with veneers.
For a wow smile, the simmetry between the size of the teeth, and between teeth and gums is necessary.
You will agree with me, if the gums are not well shaped and maintained, the smile losses its attractiveness even with the most beautiful teeth with veneers.

This is the reason why before we proceed with teeth with veneers, we sometimes do the intervention on gums. Because the porcelain teeth veneers come after the gum reshaping, as a crown of entire process.
Next step is teeth preparation
This is minimal preparation, just to leave enough space for the thiny shell. We use local anesthesia but in some situations it is not even necessary.
This is followed by a dental scan as the third stage
And this is a real benefit that you as patients have in our Queen clinic. We no longer use unpleasant impressions with a lot of mass in the mouth. With the help of a scanner making porcelain teeth veneers is much more pleasant but also more precise.
After producing we try teeth with veneers, correct what is necessary and finally cement them.
Dental veneers have their own special adhesion system, which is also not simple. It requires expensive materials and the full attention and concentration of a doctor.
At the end – voila! The smile of your dreams!
NEW TEETH WITH VENEERS!
We believe you will enjoy in your new smile, just like many patients before you.
Okay, now you have a smile, but what about eating? Can I eat normally with veneers?
Please do not hesitate to eat with teeth with veneers! 🙂
Of course teeth with veneers need to be used and tried. You can relax while eating, porcelain teeth veneers behave just as natural teeth and you can eat the same food you are used to.
Teeth with veneers are a stable solutions, the veneers can`t get off the teeth because they create chemical bonding with cement and teeth surface. If they fall away it means that something in the process went wrong and the stage should be repeated.
Unfortunately, porcelain teeth veneers can crack on certain foods just like natural teeth. It is very hard crust of bread, fruit pits, chestnut shells, bone particles in meat etc. Even hard candy can damage veneers and natural teeth. All other food that you usually eat is allowed and you don`t have any particular restrictions with veneers.
And these porcelain teeth veneers will last for years. They don`t have “expiry date” and do not necessarily need to be changed after certain period of time.
They can be replaced if there are some general changes in the organism in the sense of the receding of the gums or bones due to aging, if one accidentally bites into unwanted food and veneer cracks etc.
And will teeth with veneers look naturally, will they fulfill your expectations?
Will it happen that I want one thing and get something completely different, and the staff convince me that I get such a beautiful teeth with veneers?
We know that you always feel a little fear whether everything will turn out well and as you expected. And will we manage to transfer your thoughts to your teeth. And it is normal doubt.
But you shouldn`t worry. We really hear you. We listen to your wishes and have the patience to make your teeth with veneers exactly as you want, down to the micron.
But at the beginning you have to clearly communicate to us what you want.


In the picture, our patient, due to the wear of the upper teeth, wanted to have teeth with veneers only in the upper jaw, and asked that there will be no difference compared to the lower natural teeth. We made sure that even we don’t see the difference.
Although these are not “modern” and white teeth with veneers, we want to show you that we can completely copy the nature and that your future smile doesn`t have to look artificial. If you want your teeth with veneers to be brighter, no problem, we will make them that way.
Our next patient also shows that we fulfill your wishes related teeth with veneers. He wanted beautiful and white smile 🙂


To both our dear patients we did suggest a bit different teeth.
To the first patient we suggested to do lowers teeth with veneers also, so he can have generally brighter smile.
And to the second patient we proposed to make just a little bit more yellowish veneers (more natural since the shape and proportions are beautiful). But neither of them wanted the proposed. So we respect them and made teeth with veneers just the way they wanted.
In order to specify expectations, we always suggest that patients show us a picture of the smile they want to have.
The most important for you – what sets us apart, in addition to the skills and technology we possess, is the “eye for detail”.
Well-packaged details, as you know, form a harmonious whole. Every smile is perfect in its natural imperfection. Each is beautiful and harmonious but has its own individuality.
That is something that our team strives for, and as a result, there are no two people who have a completely identical and uniform smile.
TEETH WITH VENEERS – ETERNAL DILEMMA 🙂
It is definitely feeling sorry for damaging your own teeth, since you have them all your life and they are good. We know , this phenomenon is common.
But still want a more beautiful smile?
At the root of it is the fear that you will sacrifice your teeth and not be satisfied with the result. It is normal, nobody would like to damage the teeth without getting the best possible result.
You don`t need to worry, at tour Queen clinic you will certainly be satisfied because we don`t make teeth with veneers like on the tape. We dedicate our work to each patient and make porcelain teeth veneers just the way you want them (read the text and pay attention to the photos above).
Even if you are a young, you don`t have to wait until you`re old so you can smile freely and confidently. If you are unsatisfied with your natural teeth get porcelain teeth veneers but choose the right specialist for them. That`s how you will get quality and well-made teeth with veneers, beautiful smile and overcome the fact that you damaged your natural teeth at a young age.
What if you want to remove porcelain veneers from your teeth?
We think you`ll actually never want to take off your beautiful smile. But of course you can do it.
You need to know that porcelain teeth veneers can`t be removed from the teeth in such a way that teeth look as they was never under the veneers. It is not possible just to just peal off the veneers. We dentists can remove them with the burs and after that we should make another porcelain teeth veneers because teeth don`t look nice after removing the veneers.
Are your old veneers worn out or do you want better ones?
In general, they do not have an expiration date. But if your gums have receded or one of the veneers is damaged, or you simply want them to look nicer, it is not a problem to replace them.
You would love to know how much teeth with veneers cost?
Of course it is important part of the decision. Nobody wants hidden expenses and we all want lower cost for something that we pay. It is normal but we should find some balance between the value and teeth veneers price.
And guess what?! They actually are not that expensive.
Imagine that you have the smile of your youth again, or even better one, the smile with which you will feel free to fully enjoy in your life. The one when you smile, you feel your confidence again. Exactly that is the smile with teeth with veneers.
And all that with a couple thousands of euro. The smile will last at least 10 or 15 years ahead with no additional payments.
Concerning teeth veneers cost – it is the price that you pay only one time. It is a kind of investment that serves you for years. Compared to some other investments, vacations, daily food and expensiveness, car maintenance that you pay all over again – teeth with veneers are actually cheap because you pay it only once and they serve you many years.
So you get the smile of your dreams, that is long
lasting and not very expensive after all.
But that`s why we need to invest time, patience and money while producing them.
And for all of you who do not live in Serbia, we have very good news – in our clinic you can get beautiful smiles at reasonable prices compared to Europe, America, Australia.
If you do some inquires you will notice that teeth veneers price is much higher in Western Europe, Canada, Australia, Dubai, at least three time higher compared to our clinic. The cost for one veneer in those countries is around 2000 to 3000 euro and here it is from 400 euro to 1000 euro.
So if you multiply the cost for one veneer by 18 (that is the number of teeth with veneers that usually is done for entire smile) you reach the big amount which you would save (around 18 000 eur).
Of course you don`t need to do 18 teeth. When we create teeth with veneers we usually do the teeth that are visible while smiling. It means 10 teeth in upper and 8 teeth on lower jaw. But number of teeth with veneers we decide individually and it doesn`t mean that you need lowers at all for example.
You are probably wondering why the teeth veneers cost in our country is economical compared to the mentioned countries and continents. Well, because we are a small country. Although so small, we have a very good educational system at the university. Our doctors, with their knowledge, skills and technology, stand side by side with the dentists of the world. We have made sure of that many times. You can be completely safe in our hands. You will receive very high-quality dental services at affordable prices – a winning combination for you.
Is our clinic a good choice for you?
Don’t worry about the quality of dental work and a beautiful smile, we are at the very top of world dentistry in terms of qualifications. Our dental practice, with almost the same composition of doctors, has existed for 17 years, which is a reliable sign that our system works very well and that we are followed by a large number of satisfied patients.
Feel free to read our reviews.
Sara CveticaninTrustindex verifies that the original source of the review is Google. My experience with this dental clinic, especially with the Invisalign treatment, has been absolutely wonderful. Today, I have a beautiful smile thanks to their professional and dedicated work. The entire process was pleasant, clear, and completely transparent. Dr. Isidora did an outstanding job, and I wholeheartedly recommend her. Ella EfimenkovaTrustindex verifies that the original source of the review is Google. Вы лучшие! Спасибо огромное коллективу стоматологии Queen за изумительное отношение к пациентам и великолепное качество работы! Meenakshi KapilTrustindex verifies that the original source of the review is Google. I had an amazing experience at Queen Dental Clinic. Dr. Miloš and the entire team were very professional and kind. I came with pain in my previously root canal treated tooth, and they quickly found the problem, explained everything clearly, and treated it perfectly. The clinic is super clean, modern, and everyone speaks excellent English, which made me feel very comfortable. My tooth feels completely fine now! Highly recommend this clinic to anyone looking for quality dental care in Belgrade. 💯🦷 MilicaTrustindex verifies that the original source of the review is Google. Imala sam strah od zubara, ali u ovoj ordinaciji taj strah je potpuno nestao. Već pri prvom dolasku dočekala me je topla i prijatna atmosfera a njihov pažljiv i nežan pristup ulio mi je ogromno poverenje. Toliko sam se opustila da sam jednom čak i zaspala na stolici tokom rada🙂 Danas odlazim bez trunke nervoze jer znam da sam u sigurnim i stručnim rukama. Profesionalni, ljubazni i posvećeni. Toplo preporučujem svima koji žele kvalitetnu i bezbolnu stomatološku negu. Posebnu zahvalnost dugujem dr Mireli i dr Milošu, za njihov osmeh, strpljenje, profesionalnost i toplinu kojom svaki dolazak pretvaraju u najprijatnije iskustvo. Darko MarkovTrustindex verifies that the original source of the review is Google. Pacijent sam ove ordinacije već više od 10 godina i uvek sam izlazio zadovoljan. Radio sam sve od čišćenja kamenca do zahtevnijih intervencija i uvek je sve urađeno bezbolno, temeljno i uz objašnjenje svakog koraka. Dr Mirela i ostatak ekipe su pažljivi, stručni i posvećeni, a atmosfera u ordinaciji je prijatna i opuštajuća. Zaista pružaju osećaj sigurnosti i poverenja. Preporučujem svima koji žele kvalitetnu i profesionalnu stomatološku negu. Milena LukicTrustindex verifies that the original source of the review is Google. The dentists in Queen Dental Clinic are highly skilled, take the time to explain procedures clearly, and always make me feel comfortable and well taken care of. The quality of care is excellent, and I fully trust their expertise and would highly recommend them to anyone looking for a reliable and professional dentist. Jelena MBTrustindex verifies that the original source of the review is Google. Kao i pre 7 godina, sa zadovoljstvom konstatujem da u ordinaciji radi isti tim doktora koji me je i tada kupio i obezbedio sve preporuke svojom strucnoscu, ljubaznoscu, razumevanjem i posvecenoscu resenju problema pacijenta. Sve pohvale timu na celu sa dr Mirelom, a posebna zahvalnost dr Milosu na pristupu koji je smrvio moj kukavicluk.Google rating score: 4.9 of 5, based on 133 reviews
We know that it is important for you to be safe in our hands, which it is. You have a guarantee on all our work. We will discuss more about what the guarantee covers when we meet in person.
And not only will you get the smile of your dreams, but you will have a great vacation and time here in Belgrade (the capital city of Serbia). And the best part, you will also save tens of thousands of euros.
Visit our page and find out what awaits you in Belgrade and in our clinic.
And you need to know, we are not a clinic that deals with the often seen dental tourism – a large number of patients in too short time interval, possibly with a lot of mistakes, straight, white and not so attractive teeth.
Although we help and are responsible for the organization of your arrival, accommodation and general logistics, we provide high-quality, detailed, individual dental services. For this reason, we are unable to receive many patients at once. Because your smile deserves quality and commitment. It is in the interest of all of us that your new teeth with veneers function perfectly and that there are no complaints.
Here are some factors that can affect the teeth veneers price:
porcelain teeth veneers material: Do you want porcelain e max veneers (which are so natural that even you won’t know where your tooth ends and the veneer begins) or feldspad porcelain, which is less strong but perfect for those who want natural smile?
Number of teeth with veneers: If you only need one veneer for one tooth, the price is lower than if you want to “refresh” the entire smile. In any case, everything is a matter of agreement.
Complexity of the procedure: If your tooth requires additional preparation before placing porcelain teeth veneers, this may slightly increase the price. But don’t worry, we’ll explain everything to you clearly in advance – there are no hidden costs or surprises with us!
Teeth veneers price also depends on the technology in the producing process. Instead of uncomfortable impressions, we use intraoral scanners, printers and milling machines in the production of porcelain teeth veneers. This modern and very precise technology significantly affects the final price.
In some clinics around the world there is different price for porcelain teeth veneers on back and on front teeth. In order to avoid some complication we put teeth with veneers only on front teeth, extremely rare on back teeth.
The teeth veneers cost is the same at our clinic, regardless of whether it is a lateral or front tooth.
Come to discuss and come up with a plan that fits your budget. Because a perfect smile is something worth investing in – and stress-free! 😊
What else can affect teeth veneers cost?
We have to explain to you that the most demanding treatment with teeth with veneers is the production of one veneer on the front tooth, which we have to aesthetically fit in with the rest of the natural teeth. Because natural tooth has a million colors that need to be copied, it is a big effort to make a veneer without seeing the difference.



Although it is a demanding treatment, of course we can achieve it, but we need significantly more time compared to making the teeth with veneers on the entire arch. Therefore, teeth veneers price of this kind is higher per veneer than when you make all front veneers.
Can teeth veneers cost be lower?
It can, of course, but then we are talking about composite veneers, not ceramic ones. Let’s clarify – The material from which the veneers are made can be composite or ceramic.
The difference is mainly in material but also in their durability and aesthetic appearance.
What is a composite anyway?
Composite is the material from which white fillings are made. It looks a lot like a natural tooth, so it has come to be used for composite veneers as well. So the composite veneer is basically a thin white filling placed on the front surface of the tooth.
And how do those composite teeth veneers look like?
You might be surprised, but they can look great! It all depends on the eye of the dentist who performs it. You could already see from the previous photos that our doctors have an excellent eye for aesthetics.

How are composite veneers made?
Composite veneers can be made in three ways.
It is the simplest when they are modeled directly on the tooth, such as placing a white filling. The finished veneer is aesthetically shaped and polished. Also, factory-modeled and glazed composite veneers can be used as a direct technique. They have a predetermined shape and are subject to minimal corrections in the mouth.
In practice, indirect methods of making composite veneers are becoming increasingly popular. Modern materials enable such composite veneers to be printed and have better mechanical and aesthetic properties.
Here, just like with porcelain teeth veneers, the entire process is digitized. We use dental scanners instead of molds, we make the composite veneers in softwares first and print them. Once they are produced we bond veneers on your teeth. There is always need for some small adjustment and polishing.
And volia! Here is the smile – simple, fast and cheap! Great isn`t it?!
I`m sorry to dissapoint you but there is a catch… 🙁
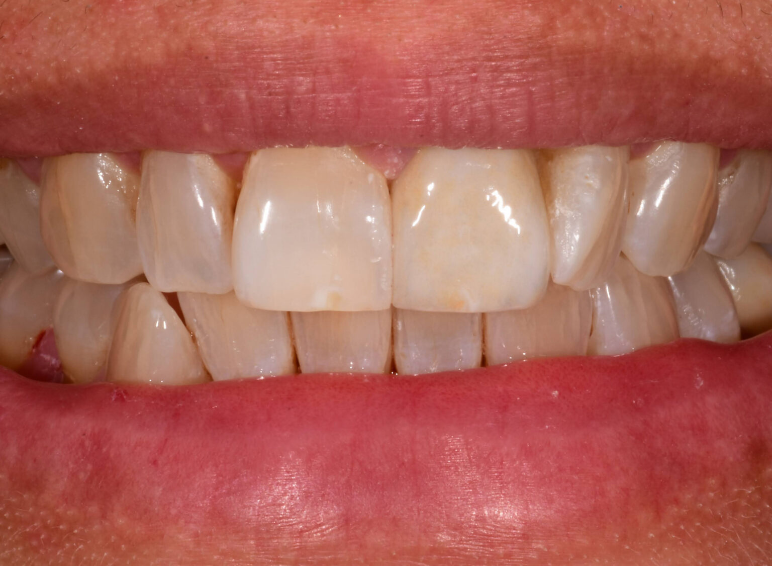
Composite veneers still have their drawbacks, and they are not noticed immediately after we make them, but rather in a function of time.
Unfortunately, composite veneers are not as durable as porcelain veneers because they are made of a less resistant material. And as such a non-optimal material, composite veneers can crack more easily than porcelain veneers. You can see how it looks in the picture.

But don’t worry, the good thing about composite veneers is that this crack can be corrected very easily, just by adding a minimal amount of white filling. Repair is simple and does not require complicated procedures.
And how do you think your composite veneers will look after a few months or years?
Well, it all depends – they can look like new, as if you made them yesterday, or they can darken.
Composite dental veneers are relatively porous and smooth, regardless of how polished they are, and as such are receptive to food and beverage pigments.
If there are a lot of chromatogenic bacteria in your oral flora, recoloring of composite veneers is guaranteed. Let’s face it, we all have bacteria that are normal inhabitants of our mouths. But some people have more bacteria that are essentially harmless but discolor the teeth and any dental restorations that are in the mouth.
Considering that we do not have any special medicine against this phenomenon, it is very questionable to do composite dental veneers in these patients because the results will unfortunately be short-lived.
Compared to composite teeth veneers, porcelain veneers do not have the aforementioned problems. Porcelain teeth veneers are mechanically stronger and more resistant, and they rarely (almost never) break.
But if by any chance it happens, it cannot be simply repaired like a composite one, but the whole veneer has to be changed.
The porcelain teeth veneers are glazed, very smooth and does not change color over time. Practically, the color we determine during production remains permanent. From the same reasons, there is also no accumulation of bacteria on such teeth with veneers.

How should I maintain the composite teeth veneers, can I do something so that the pigments do not collect?
If you decide to have composite dental veneers, it is necessary to properly maintain them. This includes the usual regular brushing, flossing and mouthwash.
In general, all veneers, especially composite ones, must be protected from excessive pressure. It means following certain guidelines in everyday life. Bad habits such as biting nails, pencils, chewing ice, etc. should be completely eliminated. You should not bite hard foods such as almonds, hard crust of bread, solid caramels with your front teeth as they can damage composite dental veneers. In fact, that food can easily damage natural teeth as well.
Instead, cut too solid foods into smaller pieces and use your back teeth to chew. Dark drinks such as Coca Cola, coffee or tea (in large quantities) should be avoided as they can discolour the composite teeth veneers. It is also necessary to visit the dentist at least twice a year for cleaning and polishing of all teeth.
Do you have a hard time deciding which teeth with veneers to do?
From the text above, it can be easily concluded that porcelain teeth veneers are superior to composite veneers. If we add to this the mathematical calculation and the price, you will understand that by coming to our clinic you can get porcelain veneers for the same price as you would get composite veneers in your country. There is no reason to settle for low quality. We are here for you!
Here are some basic differences between them so you can make the right decision.
- Production time
Composite teeth veneers are made much faster and can be completed in one or two visits to the dentist. The first step is to choose the right color and then the veneers are made like filling teeth. Polishing follows, after which you leave the office with a new smile!
Porcelain teeth veneers require more visits and a much more delicate manufacturing procedure.
- Durability
With proper care, porcelain teeth veneers last more than 10 years, and composite ones only a few years. Porcelain teeth veneers are mechanically much more resistant than composite ones. On the other hand, if breakage occurs, composite teeth veneers can be easily repaired while porcelain ones need to be replaced with new ones.
- Aesthetics
When it comes to the look of your smile, porcelain teeth veneers have a great advantage. They refract light like a natural tooth, do not change color in the mouth over time and are significantly more beautiful than composite ones.
What about these two teeth veneers cost?

Porcelain teeth veneers are always more expensive and for a reason. Making them is more complex, requires a longer time, a higher level of knowledge and skills and more expensive equipment compared to making composite dental veneers.
Initially, composite veneers are cheaper, but they have to be changed more often.
However, in the long run, they are not that much cheaper than porcelain ones because porcelain teeth veneers last longer. During the duration of one set of ceramic, several sets of composite veneers are changed, and in the end the price will be very similar.
In our office, the price for composite veneers ranges from 150 eur to 200 eur and the price for porcelain teeth veneers from 400 eur to 1000 eur.
Teeth with veneers Ceramic vs. composite
As we already mentioned porcelain teeth veneers are the most perfect and aesthetically acceptable solution for transforming the appearance of natural teeth.
If at this moment, for any reason, you cannot do porcelain veneers, you can always do composite dental veneers, as a temporary solution.
For example, patients who wear invisalign or fixed braces and are about to end that treatment, it is always better to start with composite dental veneers in order to stabilize the teeth in their position. After the end of the teeth movement with a fixed device or the invisalign system, it is necessary to stabilize the elastic fibers of the teeth for several months, so that permanent veneers are made only after a few months or even half a year. During this time, if you are not satisfied with your smile, you can always do composite teeth veneers. In such situations, they can be done temporarily and later replaced by definitive porcelain veneers.
If you feel that you need more information about teeth with veneers or still can`t decide what to do, do not hesitate to call us, we will be glad to help.
