NON-PREP VENEERS – YOUR DREAM SMILE, NO DRILLING REQUIRED
Have you ever wished for that flawless, Hollywood-style smile — perfectly shaped, bright white teeth that look effortlessly natural?
Here’s the good news: you can have it without drilling or pain.
Welcome to the world of non-prep veneers — the most gentle and elegant way to transform your smile.
What are non-prep veneers?
Non-prep veneers are ultra-thin shells of ceramic that are bonded directly to the front surface of your teeth. In many articles you will find that it is without any drilling, but believe me, it is not quite truth. There is almost always need for some minor touching of the toot. Otherwise, we couldn`t mechanically place non prep veneer on the tooth.

Yes, traditional veneers often require some minimal shaving or reshaping the tooth. And non-prep veneers are designed to fit perfectly over your natural teeth with minimal or zero preparation.
Usually they say that anesthesia is not necessary for making non prep veneers, but it is also very individual. In most cases we don`t apply it, but sometimes we have to.
At least there is something good about non prep veneers – there won`t be any pain while producing them. 😊
Can I take off non prep veneers if I want?
Eh, I came across marketing texts that smile with non prep veneers is reversible, meaning if you take them off, you will get your teeth as before. I must disappoint you, that is completely nonsense!
Non prep veneers, just as usual veneers are chemically bonded on the teeth and therefore make inseparable whole with the tooth. It can`t be removed without teeth damage! And after the non prep veneer removal, the teeth surface is rough and unattractive and you need to place another veneer.
So who are non prep veneers for?
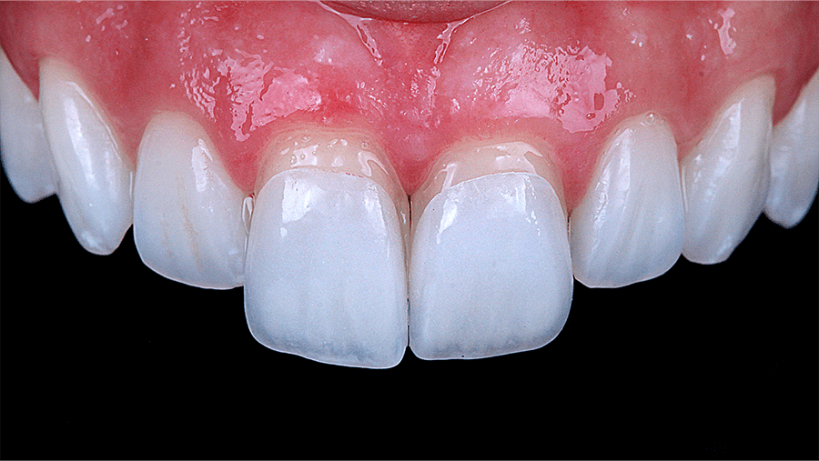
Non prep veneers can be made only if the natural teeth are too small, like we had the situation here on the photo.

Our patient was unsatisfied with the size of his natural teeth according to his face and he wanted to improve the smile with the non prep veneers. So we made them, but not actually completely non prep, we had to reshape his teeth a little bit.
And voila! Here`s the smile he wanted!

I know all the patients would like to have non prep veneers and not to touch their own teeth. But if your teeth are not small, adding even thin shell would make you look toothy. And if your natural teeth are too dark, it will be visible through thin shell.
Check our patients experiences
Sara CveticaninTrustindex verifies that the original source of the review is Google. My experience with this dental clinic, especially with the Invisalign treatment, has been absolutely wonderful. Today, I have a beautiful smile thanks to their professional and dedicated work. The entire process was pleasant, clear, and completely transparent. Dr. Isidora did an outstanding job, and I wholeheartedly recommend her. Ella EfimenkovaTrustindex verifies that the original source of the review is Google. Вы лучшие! Спасибо огромное коллективу стоматологии Queen за изумительное отношение к пациентам и великолепное качество работы! Meenakshi KapilTrustindex verifies that the original source of the review is Google. I had an amazing experience at Queen Dental Clinic. Dr. Miloš and the entire team were very professional and kind. I came with pain in my previously root canal treated tooth, and they quickly found the problem, explained everything clearly, and treated it perfectly. The clinic is super clean, modern, and everyone speaks excellent English, which made me feel very comfortable. My tooth feels completely fine now! Highly recommend this clinic to anyone looking for quality dental care in Belgrade. 💯🦷 MilicaTrustindex verifies that the original source of the review is Google. Imala sam strah od zubara, ali u ovoj ordinaciji taj strah je potpuno nestao. Već pri prvom dolasku dočekala me je topla i prijatna atmosfera a njihov pažljiv i nežan pristup ulio mi je ogromno poverenje. Toliko sam se opustila da sam jednom čak i zaspala na stolici tokom rada🙂 Danas odlazim bez trunke nervoze jer znam da sam u sigurnim i stručnim rukama. Profesionalni, ljubazni i posvećeni. Toplo preporučujem svima koji žele kvalitetnu i bezbolnu stomatološku negu. Posebnu zahvalnost dugujem dr Mireli i dr Milošu, za njihov osmeh, strpljenje, profesionalnost i toplinu kojom svaki dolazak pretvaraju u najprijatnije iskustvo. Darko MarkovTrustindex verifies that the original source of the review is Google. Pacijent sam ove ordinacije već više od 10 godina i uvek sam izlazio zadovoljan. Radio sam sve od čišćenja kamenca do zahtevnijih intervencija i uvek je sve urađeno bezbolno, temeljno i uz objašnjenje svakog koraka. Dr Mirela i ostatak ekipe su pažljivi, stručni i posvećeni, a atmosfera u ordinaciji je prijatna i opuštajuća. Zaista pružaju osećaj sigurnosti i poverenja. Preporučujem svima koji žele kvalitetnu i profesionalnu stomatološku negu. Milena LukicTrustindex verifies that the original source of the review is Google. The dentists in Queen Dental Clinic are highly skilled, take the time to explain procedures clearly, and always make me feel comfortable and well taken care of. The quality of care is excellent, and I fully trust their expertise and would highly recommend them to anyone looking for a reliable and professional dentist. Jelena MBTrustindex verifies that the original source of the review is Google. Kao i pre 7 godina, sa zadovoljstvom konstatujem da u ordinaciji radi isti tim doktora koji me je i tada kupio i obezbedio sve preporuke svojom strucnoscu, ljubaznoscu, razumevanjem i posvecenoscu resenju problema pacijenta. Sve pohvale timu na celu sa dr Mirelom, a posebna zahvalnost dr Milosu na pristupu koji je smrvio moj kukavicluk.Google rating score: 4.9 of 5, based on 133 reviews
They’re sometimes called “contact lens veneers” because they’re as thin as a contact lens — yet strong enough to last for many years.
If you are interested in more details about veneers, check this page.
However, non-prep veneers aren’t suitable for everyone.
If your teeth are severely misaligned, heavily damaged, or have large old fillings, you still can have Hollywood smile. But in that case we will probably do usual porcelain veneers or even crowns.
Don`t be afraid for the final aesthetic outcome, it depends only on our dedicated work which is on high level.
That’s why a professional smile assessment is always the first step — so we can determine what kind of dental treatment we can do in your case.
The art and science behind non-prep veneers
Designing and placing non-prep veneers is both an art and a science. Because there’s only small or none reduction, every fraction of a millimeter counts.
Here’s how we do it:
- Smile design consultation
Everything begins with a conversation. We listen to your goals, analyze your facial features, and discuss what kind of smile you’d love to have — natural, glamorous, or something in between. - Digital smile preview
Using digital imaging and 3D design technology, we can preview your new smile before any treatment begins. You’ll see how veneers will enhance your overall look — and we’ll make adjustments together until it’s perfect. - 3D scan
We take a digital scan of your teeth to capture every detail accurately — no messy impressions! - Crafting the veneers
Your veneers are handcrafted by using high-quality ceramic, usually lithium disilicate porcelain. This material mimics the natural translucency and light reflection of real enamel. - Bonding day (the big reveal!)
Once your veneers are ready, we try them in, make final refinements, and permanently bond them using a strong, light-cured adhesive.
You walk out with your new smile — instantly transformed, no pain, no downtime. And how long non prep veneers last?
You are probably wondering how long you can wear these non-prep veneers. Well, there is no specific shelf life, nor do they have to be changed after a certain number of years.
With proper care, non-prep veneers can last 10–15 years or even longer.
How should I maintain non prep veneers?
They’re incredibly strong — but like natural teeth, they need gentle care.
Brush and floss daily, visit your dentist for regular checkups, and avoid biting hard objects like ice or pens.
And yes, you can eat normally! Veneers bond so strongly that you’ll soon forget they’re even there.
Non prep veneers Cost
The cost of non-prep veneers depends on the number of teeth and materials used, but remember — this isn’t just a cosmetic upgrade.
It’s an investment in confidence, in how you look, speak, and smile every single day.
During your consultation, we’ll provide a transparent, personalized quote and explain all available options.
Please note that the most difficult part in producing non prep veneers is imitating natural teeth. And a lot of patients don`t want teeth that look fake.
Of course it is possible but we need some extra time, effort and money for that kind of non prep veneers.
Please note on this picture how we played with natural teeth colors and shapes.
Take the first step toward your dream smile
If you’ve ever hesitated to get veneers because you feared drilling or permanent changes — now you don’t have to.
📞 Call us today or book your consultation! +381692289229 Discover how easy your smile transformation can be.
