Braces for kids – building healthy, confident Smiles from an early age
Every parent wants their child to have a bright, confident smile — one that reflects both happiness and health. But as children grow, their teeth and jaws go through many changes. Sometimes, those changes can lead to crooked teeth, misaligned bites, or spacing issues. That’s where braces for kids come in.
But let’s take a look at what braces for kids are and for whom they are intended.
First, let us tell you that braces are not only reserved for children, but also for adults.
But then why is the popular name braces for kids? That is a bit strange because the most common orthodontic appliance in children is a mobile prosthesis and not braces.

Let’s demystify it for you: As long as children are growing and their jawbones are being formed, mobile devices (dentures) are being worn. Because with mobile devices we can direct the growth of the jawbones in the appropriate directions. And that is possible only in the phase of the child’s growth. At the same time as directing bone growth, mobile prostheses also affect the work of the surrounding muscles, and the muscles in turn influence bone growth.
So, mobile prostheses affect the growth and remodeling of bones, the work of muscles and also correct the position of the teeth.
When the child has already stopped growing or is nearing the end of puberty, braces are used. With braces, it is only possible to move the teeth in the already formed bone, but it is not possible to direct or influence the growth of the jaw bones.

That is why it is very important to act in the growth phase when many things can be corrected, which is the age of 7 years, in some serious cases even earlier.
The experts recommend that every child have their first orthodontic evaluation by age 7. This doesn’t mean your child will need braces right away.
At this early age, our orthodontists can spot potential growth or alignment issues and decide whether treatment is needed immediately or should be monitored for later. Early detection allows us to guide jaw growth, manage crowding, and reduce the need for more extensive treatment in the teen years.
The best age for braces for kids?
Most kids get braces between the ages of 10 and 14, when most of the permanent teeth have erupted but the jaw is still growing. This timing makes it easier to correct alignment issues and achieve faster, more effective results.
At Queen clinic, we believe that early orthodontic care is more than just about straight teeth — it’s about guiding proper growth, preventing future dental problems, and building lifelong confidence. Our experienced orthodontists make every step of the journey comfortable, fun, and perfectly tailored to your child’s unique needs.
This is our dr Milica who takes care of your and your child bite!

How old is your child? Does it have all permanent teeth?
Find much more information about mobile prostheses here.
Here are some general information about braces for kids but more detailed explanation you will find here.
Or just simple call us and make an appointment so we can make an assessment of what kind of therapy your child needs and whether it is needed.
Why kids need braces?
There are many reasons children may need braces, and most of them are completely normal. Kids’ teeth and jaws are still developing, which makes this the perfect time to gently guide their growth in the right direction.
Some of the most common reasons for braces include:
- Crooked or crowded teeth
- Gaps between teeth
- Overbite (top teeth stick out too far)
- Underbite (bottom teeth overlap the top)
- Crossbite or open bite
- Early loss of baby teeth
- Thumb sucking or tongue thrusting habits
Orthodontic treatment not only improves the look of your child’s smile — it also helps with proper chewing, clearer speech, easier cleaning, and better long-term oral health.
Types of braces for kids that we provide in Queen clinic
Today’s braces are smaller, lighter, and more comfortable than ever before.
We call them self-ligating braces
These braces use a special clip system instead of elastic bands, which reduces friction and makes them easier to clean. Treatment can sometimes be quicker and more comfortable with this modern design.
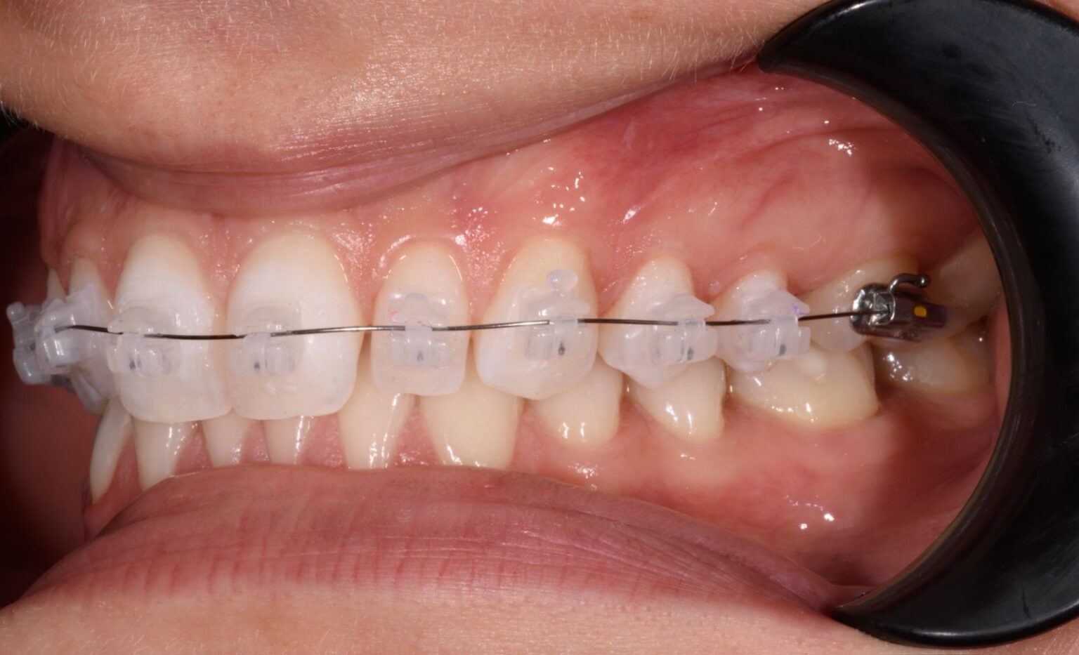
There are two types of self ligating braces, transparent and metal.


You need to know that transparent braces are like that only on the front teeth in the lower jaw, and from fifth tooth to opposite fifth tooth in the upper jaw. On the remaining back teeth, they are also metal.
Children often think that they will be able to choose elastic bands in different colors and that this will be their small hobby. However, self-ligating braces do not have elastic bands at all, their mechanism is more modern and improved in everything for the needs of therapy.
Traditional metal locks work with elastic bands, but they have been largely superseded by new, better systems.
While aligners are typically used for older teens, some responsible preteens can also benefit. They’re removable, nearly invisible, and easy to maintain — perfect for kids who prefer flexibility and discretion.Our orthodontists will determine if your child is a good candidate for aligner treatment based on their dental maturity and lifestyle.

What to expect during treatment?
Getting braces may seem like a big step, but we make it a smooth and exciting experience! Here’s what you and your child can expect:
- Initial consultation
We start with a friendly, no-pressure visit. Our dr Milica will take X-rays, photos, and digital scans of your child’s teeth to create a detailed treatment plan. - Placement of braces
The process is quick and painless. Brackets are bonded to the teeth, and wires are attached. Most kids adapt within a few days.
- Adjustment appointments
Every 6–8 weeks, we make small adjustments to keep teeth moving in the right direction. These visits are usually short. - Oral hygiene guidance
We teach every child how to brush and floss properly with braces to keep their smile clean and healthy. Good hygiene helps ensure a smooth and successful treatment. - Completion and retainers
Once the braces come off, your child’s teeth will look amazing! To maintain those perfect results, we provide a custom-made retainer and explain how to care for it properly.
How long do kids wear braces?
The average treatment time is 18 to 24 months, but it varies depending on the complexity of each case and how well the child follows care instructions.We encourage parents and kids to see braces as a team effort — consistent oral hygiene, attending appointments, and avoiding sticky or hard foods all contribute to faster and better results.
Caring for braces
Keeping braces clean is essential for healthy teeth and gums. Here are a few tips we share with our young patients:
- Brush after every meal with a soft toothbrush and fluoride toothpaste.
- Floss daily using a floss threader or special orthodontic floss.
- Avoid sticky, chewy, and crunchy foods like gum, caramel, popcorn, and hard candy.
- Visit your dentist regularly for cleanings and checkups.
