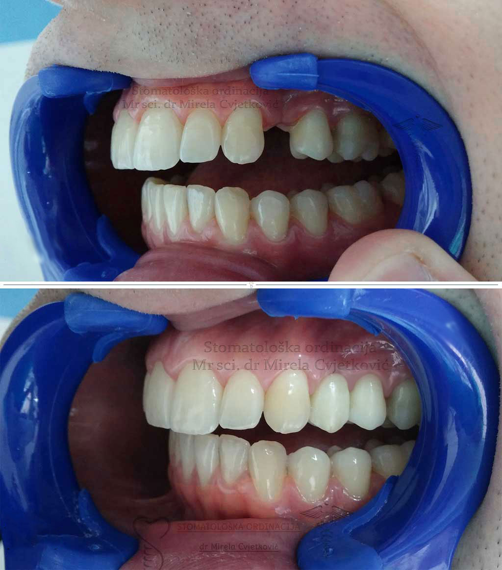
Dental implants – do they hurt?
When someone mentions dental implants, you might immediately think:
„Are they painful?” or „ Do they really work? And, how much implants will cost me?”
However, dental implants are not even close to what many people think, because the procedure is painless, the recovery is fast, and the implants work like a real teeth and fit perfectly with your jaw with no visible differences.
Think of dental implants as a natural replacements for teeth, which are so embedded and stable that you won’t even notice them anymore.
Are dental implants or a prostheses better?
But let’s make one thing clear – dental implants are not the same as a prostheses.
While prostheses are there to “fix” the situation, often with a lot of discomfort, implants are real, permanent solution.
The prostheses can be movable, they can move when you eat, talk or even when
you laugh. On the other hand, the implants are here to stay. Fixed in the jaw, they become a part of you. But there are good news too. You are not condemned to suffer with complete dentures. We have several nice solutions for you. You can do dentures on implants, all on 4, all on 6 and it will all serve good to you.
Are dental implants painful?
Most patients ask first – Will implants hurt?
Okay, this is a completely normal fear.
But the truth is that the installation of a dental implants is much less painful than many people think.
Thanks to modern techniques and local anesthesia, the process is almost painless. Patients often leave the office with the comment: “It was nothing terrible!”.
And what you may not know is that recovery is also faster and easier than with many other dental procedures.
In our Queen dental clinic, we have a special protocol to make your implant installation completely comfortable, efficient and painless.
Are dental implants too complicated?
Fear of pain is not the only one.
Some fear that the procedure will be too complicated or time-consuming.
But actually, the whole thing is very simple and can be done in a two visits. During the first visit we do implantation and in second visit, which often comes in a few months, we make crown. The whole process is digitized, efficient and precise.
After implants are placed, all that is needed is for the jaw to heal and accept that titanium roots. It takes a few months, but while it lasts – you are still functional.
You can wear a temporary crowns until everything is perfectly in place.
We always place some temporary solution when we install dental implants in aesthetic areas. So don`t worry, you won`t be walking around without teeth.
What if I don’t have enough bone for dental implants?
If you have been told that you don’t have enough bone for implants, don’t despair! Today, dentistry offers a solution for almost every problem.
Bone can be built up and this is called bone augmentation.
It is actually a procedure where new bone is added to the place where it is missing, in order to create a solid base for implants.
It may sound complicated, but it really isn’t – it’s a routine procedure. So, even if your jaw seems weak, there is a way to make it stronger and allow you to get implants.

But even if you are not looking forward to have bone augmentation, do not worry. There are always some other solutions – today`s market offers us a wide range of dental implants that are specially designed to be installed in places with lack of natural bone.
Is there a chance that my body will reject dental implants?
The fear that the body will reject implants is legitimate, because of course no one wants complications.
Fortunately, the chances of that happening are very low.
Dental implants are made of biocompatible titanium, which means your body treats it like its own tissue.
In rare cases, inflammation can occur, but this is often the result of poor oral hygiene, not the implants themself.
If you take proper care of your teeth and visit the dentist regularly, the implants will become a natural part of your jaw, and you won’t even notice they are there.
The success rate of implant placement in our Queen dental clinic is almost 100%. And it is not the coincidence, but a consequence of our knowledge and 20 years of dedication to our patients.
Check what the users of our dental services have to say about our work.
Sara CveticaninTrustindex verifies that the original source of the review is Google. My experience with this dental clinic, especially with the Invisalign treatment, has been absolutely wonderful. Today, I have a beautiful smile thanks to their professional and dedicated work. The entire process was pleasant, clear, and completely transparent. Dr. Isidora did an outstanding job, and I wholeheartedly recommend her. Ella EfimenkovaTrustindex verifies that the original source of the review is Google. Вы лучшие! Спасибо огромное коллективу стоматологии Queen за изумительное отношение к пациентам и великолепное качество работы! Meenakshi KapilTrustindex verifies that the original source of the review is Google. I had an amazing experience at Queen Dental Clinic. Dr. Miloš and the entire team were very professional and kind. I came with pain in my previously root canal treated tooth, and they quickly found the problem, explained everything clearly, and treated it perfectly. The clinic is super clean, modern, and everyone speaks excellent English, which made me feel very comfortable. My tooth feels completely fine now! Highly recommend this clinic to anyone looking for quality dental care in Belgrade. 💯🦷 MilicaTrustindex verifies that the original source of the review is Google. Imala sam strah od zubara, ali u ovoj ordinaciji taj strah je potpuno nestao. Već pri prvom dolasku dočekala me je topla i prijatna atmosfera a njihov pažljiv i nežan pristup ulio mi je ogromno poverenje. Toliko sam se opustila da sam jednom čak i zaspala na stolici tokom rada🙂 Danas odlazim bez trunke nervoze jer znam da sam u sigurnim i stručnim rukama. Profesionalni, ljubazni i posvećeni. Toplo preporučujem svima koji žele kvalitetnu i bezbolnu stomatološku negu. Posebnu zahvalnost dugujem dr Mireli i dr Milošu, za njihov osmeh, strpljenje, profesionalnost i toplinu kojom svaki dolazak pretvaraju u najprijatnije iskustvo. Darko MarkovTrustindex verifies that the original source of the review is Google. Pacijent sam ove ordinacije već više od 10 godina i uvek sam izlazio zadovoljan. Radio sam sve od čišćenja kamenca do zahtevnijih intervencija i uvek je sve urađeno bezbolno, temeljno i uz objašnjenje svakog koraka. Dr Mirela i ostatak ekipe su pažljivi, stručni i posvećeni, a atmosfera u ordinaciji je prijatna i opuštajuća. Zaista pružaju osećaj sigurnosti i poverenja. Preporučujem svima koji žele kvalitetnu i profesionalnu stomatološku negu. Milena LukicTrustindex verifies that the original source of the review is Google. The dentists in Queen Dental Clinic are highly skilled, take the time to explain procedures clearly, and always make me feel comfortable and well taken care of. The quality of care is excellent, and I fully trust their expertise and would highly recommend them to anyone looking for a reliable and professional dentist. Jelena MBTrustindex verifies that the original source of the review is Google. Kao i pre 7 godina, sa zadovoljstvom konstatujem da u ordinaciji radi isti tim doktora koji me je i tada kupio i obezbedio sve preporuke svojom strucnoscu, ljubaznoscu, razumevanjem i posvecenoscu resenju problema pacijenta. Sve pohvale timu na celu sa dr Mirelom, a posebna zahvalnost dr Milosu na pristupu koji je smrvio moj kukavicluk.Google rating score: 4.9 of 5, based on 133 reviews
What if I have more teeth to replace? Can all of them be on implants?
The good news is that you don’t have to have a separate implant for each missing tooth.
All-on-4 or All-on-6 techniques allow the entire jaw to be fixed on only 4 or 6 implants. This means that even if you are missing multiple teeth in entire jaw, you don’t have to go through dozens of procedures.
One procedure can solve everything – a little titanium, a big smile.
And don’t worry about the final aesthetic appearance and smile, because we really make miracles. We pay special attention to the natural appearance, no one will notice that the teeth are not yours. It would be good if we could provide you with such a beautiful smile.

It is because here at the Queen clinic we are organized so that each specialist doctor performs his part of work since he or she is a top expert in the field. As a team, we function very well, which is shown by the fact that the same team has not changed over the years.
Because we do not change what is good, we only improve it with new technologies and knowledge in dentistry.

Here’s how we place dental implants
- Overview and planning
First, we schedule a detailed examination, where we will assess the condition of your teeth and jaw.
We use digital X-rays and, if necessary, 3D scanners to get a precise picture of your jaw structure.
Based on this, we create a personalized plan that shows exactly where the implants will be placed and what your final crowns will look like.
- Preparation and installation of dental implants
The next step is dental implants instalation.
Thanks to local anesthesia, the procedure is painless. Of course, if you think it is necessary, or it would be easier for you mentally, we can always work under sedation.
The dentist carefully places dental implants in your jaw, where the teeth are missing. Dental implants serve as the roots for the new teeth.
The procedure itself takes a relatively short time – usually between
30 minutes and 2 hours, depending on the complexity of the case.

After the installation of dental implants, you can expect a slight swelling and this is a normal phenomenon. If only one implant is installed, there is no swelling at all. The swelling will certainly pass in a few days.
There is also no pain after installing of dental implants because you take painkillers as needed.
The installation of only one implant involves a very simple procedure, and patients generally do not take painkillers afterwards because they do not need them.
Thread removal is about 7 days. If necessary, we can use resorbable threads that will be resorbed and do not need to be removed by the dentist.
- The healing period
After the implants are placed, it takes time for the implants and your bone to fuse together – a process called osseointegration. This usually takes about 3 months, during which the jaw becomes more firmly attached to dental implants, creating a stable base for the future crown. During this period, you can wear a temporary crowns, so you don’t have to worry about the aesthetics of your smile.
- Installing the abutments
Once the implants are firmly attached to the jaw, the next step comes – placing the abutments, which are the small parts that connect to the implants and serve as the bases for your new crowns. This procedure is simple, quick and painless.
Dental implants appearance
This rounded part is the abutment.

- Placing a permanent crowns
Finally, after the abutments are in places, we place a permanent crowns that are produced to fit your smile perfectly. A crowns look and function like your natural teeth – they will be shaped and colored so that they are indistinguishable from your other teeth.

After this step, your smile is complete, and dental implants become a permanent parts of your teeth.
- Controls and maintenance
After the procedure, we recommend regular check-ups to make sure everything is in the best order and there are no complications. Also, it is mandatory to maintain good oral hygiene – regular brushing and visits to the dentist so that your implants remain healthy and functional in the long term.
Why titanium?
Titanium? Sounds a bit futuristic, doesn’t it? You may imagine the metal that will “clink” in your mouth, but the reality is completely different.
Titanium is an incredibly special metal – it has the ability to bond completely to your bone. The process is called osseointegration, and this is what makes the implants so reliable and long-lasting.
When dental implants are placed, the titanium behaves like the natural roots of the teeth, and over time your jaw connects with them as if they were a part of you. The implants become a stable and solid bases on which we build crowns, bridges or even a prostheses, depending on what you need.

Do you know that there are different brands of dental implants?
You can find cheap dental implants in the market, and many people choose them because of the price.
But as with everything in life, there is possibility that you get what you pay for. So you need to be careful with choises. We will help you with those decidions of course.
Well-known brands such as Straumann, Neodent, Megagen and others use the latest technologies and high-quality materials to ensure long-term stability, functionality, and safety. But other implants can have same quality as well. The point is that the surgeon is familiar with the implant system and knows all pros and cons.
That is why it is very important that when you have already decided to install implants, you choose quality, because they can last for decades, or even a lifetime, with proper maintenance.
We invite you to come to our Queen office for an examination. This is the only way we can asses your condition in detail and determine exactly what you need – from the type of material to the procedure itself. After the review, we will give you a clear picture of all the steps and the exact price.
For all of you who do not live in Serbia, we have very good news – in our clinic you can get beautiful smiles, high quality treatments at afordable prices.
💶
dental implants price, dental implants Belgrade
How much do dental implants Cost?💶
It’s completely understandable that everyone wants to know how much dental implants will cost — but determining the exact price depends on several individual factors, including your oral health, bone condition, and the type of implant system used.
At Queen Dental Clinic in Belgrade, Serbia, prices for dental implants start at €700, depending on the complexity of the case and the type of implant. All materials we use are premium quality, and all procedures are performed by
experienced professionals with international training and certifications.
For patients outside of Serbia, we have great news — you can get a world-class smile at a fraction of the cost compared to Western Europe, the USA, or Australia.
We also provide free accomodation for amounts over 15 000 euro.
Why Choose Dental Implants at Queen Dental Clinic?
To give you an idea:
✅Success rate over 99%
✅ Top-tier doctors with global experience
✅ Affordable prices – starting from €700
✅ Premium implant systems and materials
✅ Comprehensive planning and diagnostics
✅Natural-looking, long-lasting results
We are not a typical dental tourism clinic. We don’t overbook, rush treatments, or deliver generic results. Instead, we provide carefully planned, high-quality work tailored to your needs – because your smile deserves precision and attention.
Individual approach – because no two smiles are the same
Every patient is unique. That’s why we never offer one-size-fits-all solutions.
The cost and approach to your dental implant treatment may vary depending on:
-The number of implants required
-Bone availability and the need for bone augmentation
-Type of restoration (crown, bridge, or prosthesis)
-Esthetic demands (especially for front teeth)
We take the time to explain every step, present all treatment options, and guide you in choosing what’s best for you — medically, functionally, and financially.
And rest assured — the quality of work, hygiene standards, and final aesthetic results are on par with the world’s best clinics.
🦷 Not only will you leave with a beautiful, healthy smile, but you’ll also get to enjoy a wonderful stay in Belgrade, explore the city, and still save thousands of euros compared to prices abroad.
📞 Wondering what the cost would be in your specific case?
Let’s create your new smile — safely, professionally, and affordably.
FAQ
Cost of dental implants – transparent and fair
We understand that pricing is one of the most common concerns. That’s why we’re transparent from the beginning.
- Implant prices at Queen Dental Clinic start from €700
- In Western Europe: €1,500+
- In Canada or the US: up to 8–10 times more
Despite the lower cost, we do not compromise on quality. We use globally recognized implant systems, advanced surgical techniques, and state-of-the-art diagnostics.
You’ll receive top-level dental care at a fraction of the price you’d pay abroad — and with results that last for decades.
Why is dental work more affordable in Serbia?
Serbia is a small country with a strong academic tradition and a reputation for skilled medical professionals. Our doctors are highly educated, experienced, and work side-by-side with the world’s leading dentists.
The reason our prices are lower lies not in quality, but in overall living costs. That’s why many international patients choose us for:
- Lower treatment costs
- Short waiting times
- Exceptional care and service
- Full support with travel and accommodation
And yes — while you’re here, you’ll have time to enjoy beautiful Belgrade Serbia, explore Serbian hospitality, and still save thousands of euros.
Plan your visit
We are not a high-volume, rushed clinic. We take on a limited number of patients to ensure focus, precision, and personalized attention. From the first consultation to the final crown placement, we are with you every step of the way.
Let’s talk about your case, needs, and expectations. We’ll help you create a plan that fits your goals and budget —clearly, transparently, and stress-free.
Call us at: + 381 69 2289 229
Plan your visit
We are not a high-volume, rushed clinic. We take on a limited number of patients to ensure focus, precision, and personalized attention. From the first consultation to the final crown placement, we are with you every step of the way.
Let’s talk about your case, needs, and expectations. We’ll help you create a plan that fits your goals and budget —clearly, transparently, and stress-free.
Call us at: + 381 69 2289 229
Are dental implants expensive?
Although works on dental implants are expensive at the start, they are still profitable for many years, the way we do them in the office. In the beginning, you will struggle with coming to the doctor’s office, making new teeth, paying, but you will be calm, satisfied and smiling for many years to come.
When we compare other prices, vacations, wintering, food, living costs and enjoyment, you will understand that having a beautiful smile and teeth that you eat with as if they were your own, and for so many years, is not very expensive.
Come to discuss and come up with a plan that fits your budget. Because a perfect smile is something worth investing in – and stress-free! 😊
What else can affect dental implants cost?
We have to explain to you that the most demanding treatment with implants is missing front tooth or teeth, where there is no enough bone for placing the implants.
We are faced with several problems here – lack of bone and soft tissue and high aesthetic demands. This is why situations like this demand a lot of doctor`s knowledge and experience, a lot of patient`s effort, often multiple surgical procedures due to maintaing both bone and soft tissue and at the end, excellent sense of aesthetics, to make your crowns identical to natural teeth.
Because natural tooth has a million colors that need to be copied, it is a big effort to make a zirconia or e max crown without seeing the difference.
Although it is a demanding treatment, of course we can achieve it, but we need significantly more time compared to the situations on the back teeth. Therefore, these costs for implants are higher than others more usual and less demanding.
Call us at +381 69 2289 229.
How many implants are needed to install in a toothless jaw?
It depends on three things:
– what kind of prosthetic work do you want;
– is there enough available bone for implant installation;
– finances.
We distinguish several types of prosthetic work on implants. The simplest and at the same time the most affordable is the production of prostheses on locators. Four implants are needed in the upper jaw and two, preferably three dental implants in the lower jaw.
The patient can and must remove the prosthesis in order to wash and clean it after every meal.
Next is the All on 4 dental implants concept LINK, which requires 4 dental implants in the jaw, installed at certain angles. A ceramic bridge is made on the installed implants and fixed to the implants with a screw.
It is a fixed bridge, the patient cannot remove it from the mouth, but the dentist can.
The All on 6 concept, as the most stable and also the most expensive, involves the installation of 6 dental implants in the jaw that also carry a ceramic bridge.
As with the all on 4 dental implants concept, it is a fixed bridge that cannot be removed by the patient but can be removed by the dentist. The dentist eventually removes it for control and cleaning, and then re-fixes it in the mouth.
If the all on 6 ceramic bridge is cemented with cement and not with a screw, the dentist cannot simply remove it and put it back in the mouth, but must destroy it (cut it) in order to be able to remove it.
