What are braces?
Braces, or fixed orthodontic appliance is a device used to move the teeth in the jaw. In our country, it is often called a fixed prosthesis, so we will also use that term in the text, although it is not completely correct.
It consists mainly of locks that are glued to the teeth and arches that connect the locks. There are also supplements that are applied individually depending on the type of therapy.
Braces as well as a mobile prosthesis for children improve the health of teeth and gums in a long period of life. They correct the teeth in the right position and enable not only good aesthetics, but also even transfer of chewing pressure over all teeth. Read below why this is important.
The braces are worn by both adults and children, there is practically no age limit.
You need to know that before you start wearing braces, all teeth as well as gums must be healthy or repaired.
Contact us with confidence. Our specialists, in addition to enviable knowledge, also have many years of experience in this field. Your therapy in their hands is safe and effective.
Braces and mobile prosthesis for children – what are the differences?
The first and obvious difference is in their construction. Braces are fixed to the teeth with locks, they are placed and removed by an orthodontist, the patient cannot remove it from the mouth. It is used in children whose teeth have been replaced and in adults.

The denture for children is mobile. It is worn by children mostly at the age when the change of teeth occurs. Young patients can take it out of their mouths. It is larger and more robust than a fixed device.


However, the biggest difference is in their effect. Braces move the teeth in the jaw bones and this is where the field of its action ends. They correct teeth, but cannot significantly correct jaw bone irregularities. So, if you are bothered by crooked teeth, braces can correct them relatively quickly. The folded teeth will also get their proper string. If there is a large disproportion of the upper and lower jaw, braces will not give a complete therapeutic result.
In contrast, the mobile prosthesis for children, in addition to straightening the teeth, directs the growth of bones in the desired direction and significantly corrects bone anomalies. The right solution is with, for example, very narrow or “lowered” jaws, i.e. in all situations where it is necessary to correct both the jaw bones and the position of the teeth. Mobile prosthesis for children manifests its full effect precisely in the period of growth and development, i.e. during childhood, adolescence and puberty.
Our specialists have great experience and knowledge in solving orthodontic problems. Be sure you are in good hands.

Sara CveticaninTrustindex verifies that the original source of the review is Google. My experience with this dental clinic, especially with the Invisalign treatment, has been absolutely wonderful. Today, I have a beautiful smile thanks to their professional and dedicated work. The entire process was pleasant, clear, and completely transparent. Dr. Isidora did an outstanding job, and I wholeheartedly recommend her. Ella EfimenkovaTrustindex verifies that the original source of the review is Google. Вы лучшие! Спасибо огромное коллективу стоматологии Queen за изумительное отношение к пациентам и великолепное качество работы! Meenakshi KapilTrustindex verifies that the original source of the review is Google. I had an amazing experience at Queen Dental Clinic. Dr. Miloš and the entire team were very professional and kind. I came with pain in my previously root canal treated tooth, and they quickly found the problem, explained everything clearly, and treated it perfectly. The clinic is super clean, modern, and everyone speaks excellent English, which made me feel very comfortable. My tooth feels completely fine now! Highly recommend this clinic to anyone looking for quality dental care in Belgrade. 💯🦷 MilicaTrustindex verifies that the original source of the review is Google. Imala sam strah od zubara, ali u ovoj ordinaciji taj strah je potpuno nestao. Već pri prvom dolasku dočekala me je topla i prijatna atmosfera a njihov pažljiv i nežan pristup ulio mi je ogromno poverenje. Toliko sam se opustila da sam jednom čak i zaspala na stolici tokom rada🙂 Danas odlazim bez trunke nervoze jer znam da sam u sigurnim i stručnim rukama. Profesionalni, ljubazni i posvećeni. Toplo preporučujem svima koji žele kvalitetnu i bezbolnu stomatološku negu. Posebnu zahvalnost dugujem dr Mireli i dr Milošu, za njihov osmeh, strpljenje, profesionalnost i toplinu kojom svaki dolazak pretvaraju u najprijatnije iskustvo. Darko MarkovTrustindex verifies that the original source of the review is Google. Pacijent sam ove ordinacije već više od 10 godina i uvek sam izlazio zadovoljan. Radio sam sve od čišćenja kamenca do zahtevnijih intervencija i uvek je sve urađeno bezbolno, temeljno i uz objašnjenje svakog koraka. Dr Mirela i ostatak ekipe su pažljivi, stručni i posvećeni, a atmosfera u ordinaciji je prijatna i opuštajuća. Zaista pružaju osećaj sigurnosti i poverenja. Preporučujem svima koji žele kvalitetnu i profesionalnu stomatološku negu. Milena LukicTrustindex verifies that the original source of the review is Google. The dentists in Queen Dental Clinic are highly skilled, take the time to explain procedures clearly, and always make me feel comfortable and well taken care of. The quality of care is excellent, and I fully trust their expertise and would highly recommend them to anyone looking for a reliable and professional dentist. Jelena MBTrustindex verifies that the original source of the review is Google. Kao i pre 7 godina, sa zadovoljstvom konstatujem da u ordinaciji radi isti tim doktora koji me je i tada kupio i obezbedio sve preporuke svojom strucnoscu, ljubaznoscu, razumevanjem i posvecenoscu resenju problema pacijenta. Sve pohvale timu na celu sa dr Mirelom, a posebna zahvalnost dr Milosu na pristupu koji je smrvio moj kukavicluk.Google rating score: 4.9 of 5, based on 133 reviews
Why wear braces?
There are many reasons why doctor would recommend braces. The most common are:
- Folded teeth, lack of space for teeth
- Occurrence of gaps between teeth
- Correction of protrusion of the upper teeth (teeth too bent or moved forward)
- Improper bite of upper and lower teeth
- Crooked teeth
- Pain in the area of the lower jaw joint or neck muscles
- Grinding and clenching your teeth
- In adults, after tooth extraction, adjacent teeth move and tilt into an empty space, which has a number of harmful consequences. Sometimes, in order for the replacement of a missing tooth to be possible at all, it is necessary to correct the tooth beforehand.
Of course, some of these irregularities can be corrected by a mobile prosthesis for children.

Is it necessary to wear braces?
If you have an irregularity and you still do not have pain or other problems, it is not necessary. It is certainly desirable, as the pain and problems that result from tooth irregularities can occur at any time in life. Also, at some point, complications can manifest themselves as a cumulative effect of a previous long-term bad load on the teeth.
Teeth that do not have optimal contact with the teeth of the opposite jaw suffer increased pressure. Bone loss occurs around them, which is manifested through the withdrawal of the gums. Other symptoms include tooth wear and tear, joint pain, or loss of tooth tissue around the neck of the tooth.
Crooked teeth are potentially problematic because in such a position it is not possible to clean them well. Periodontal pockets and bone loss are often present around crooked teeth. Braces will correct the position of the teeth and enable good cleaning and an excellent aesthetic appearance.
In patients in whom the upper front teeth are too tilted forward, dry mouth occurs because they cannot connect the upper and lower lip due to the position of the teeth.
Braces or mobile prosthesis for children successfully solve the mentioned problems.
Maybe you are still not aware of the problem in your mouth but you do feel something is not quite correct.
When is it best to start wearing braces or prosthesis for children?
As a general rule, you should react as soon as you notice that there are any orthodontic irregularities. Each of them is easier to correct in younger children. Once jaw bone growth is complete, therapy is limited.
At the earliest age, around the age of 5, certain muscle exercises can be started or myofunctional devices can be worn. Muscle exercises are invaluable because the outcome of therapy depends on the muscles.
Mobile dentures for children start to be worn around the age of 7, and braces after a tooth change. Today, more and more adults wear braces, so in their case, the beginning of therapy is tied to the time when the irregularity was discovered.
How long are braces worn?
The duration of therapy varies and depends on the age of the patient, the growth rate of the face and jaws and the severity of the problem. Early treatment, for children or teenagers, is always shorter.
Estimation of how long braces are worn is based on clinical examination, X-ray analysis, and study models.
We believe that you would like the therapy to go faster, but braces and dentures for children must follow the biomechanical principles during the movement of the teeth. The tooth must not move with too much force as this can lead to its loss.
How are braces placed?
Placing braces on the teeth is completely painless and takes about 30-40 minutes. Anesthesia is not necessary, since the braces are simply glued to the teeth. It is common to place braces on the upper jaw first, in order for the patient to get used to the existence of a foreign body in the mouth. Shortly afterwards, in a month or two, the lower braces are placed. In some situations, it is possible that various splints, intermaxillary rubbers, screws, etc. are included in the therapy with braces which help achieve the results of therapy.
Does braces hurt?
We would not call it classic pain, but the existence of a certain pressure on the teeth. The pressure is greatest after the control when the orthodontist “tightens” the fixed device. It lasts a day or two after which it stops.
Braces – adjustment
Adaptation to braces is really individual and primarily depends on your desire and motivation regarding therapy. Braces usually give small disturbances and discomfort at the beginning, regardless of where they are located, on the outer or inner side of the tooth. If the braces are fixed on the outside, there is usually a weaker or more pronounced scratching of the mucous membrane of the lips and cheeks, and sometimes a change in speech in the form of a slight rustling.
In the case of the lingual braces, which is placed on the inner surface of the tooth, towards the tongue, it is very similar, except that instead of the sensitivity of the lips and cheeks, the sensitivity of the tongue appears.
All inconveniences, including the pronunciation of individual voices, are of a temporary nature and last for about a week to 10 days. After the adjustment period, all disturbances stop and the patient no longer feels the braces as a foreign body.
You may check the experience of our patient, two weeks after placing the braces.
Will braces affect the appearance of my face and lips?
The appearance of the face is especially affected by mobile prostheses for children because they directly stimulate the growth of the upper and lower jaw in the desired direction.
Braces can slightly change the appearance of faces. It will straighten your teeth and give you a symmetrical and natural look to your face and dental arches.
With this type of therapy, changes in the volume of the lips are noticeable and they are temporary. Lips are slightly more bulging in people who wear an external braces – due to the presence of a lock on the outside of the tooth under the lip. In the case of a lingual braces, the braces are located on the inside of the teeth and do not affect the appearance of the face and lips. After completing the therapy and removing the locks, your lips will have the same shape and volume as before.
What does life look like with braces?
Sara CveticaninTrustindex verifies that the original source of the review is Google. My experience with this dental clinic, especially with the Invisalign treatment, has been absolutely wonderful. Today, I have a beautiful smile thanks to their professional and dedicated work. The entire process was pleasant, clear, and completely transparent. Dr. Isidora did an outstanding job, and I wholeheartedly recommend her. Ella EfimenkovaTrustindex verifies that the original source of the review is Google. Вы лучшие! Спасибо огромное коллективу стоматологии Queen за изумительное отношение к пациентам и великолепное качество работы! Meenakshi KapilTrustindex verifies that the original source of the review is Google. I had an amazing experience at Queen Dental Clinic. Dr. Miloš and the entire team were very professional and kind. I came with pain in my previously root canal treated tooth, and they quickly found the problem, explained everything clearly, and treated it perfectly. The clinic is super clean, modern, and everyone speaks excellent English, which made me feel very comfortable. My tooth feels completely fine now! Highly recommend this clinic to anyone looking for quality dental care in Belgrade. 💯🦷 MilicaTrustindex verifies that the original source of the review is Google. Imala sam strah od zubara, ali u ovoj ordinaciji taj strah je potpuno nestao. Već pri prvom dolasku dočekala me je topla i prijatna atmosfera a njihov pažljiv i nežan pristup ulio mi je ogromno poverenje. Toliko sam se opustila da sam jednom čak i zaspala na stolici tokom rada🙂 Danas odlazim bez trunke nervoze jer znam da sam u sigurnim i stručnim rukama. Profesionalni, ljubazni i posvećeni. Toplo preporučujem svima koji žele kvalitetnu i bezbolnu stomatološku negu. Posebnu zahvalnost dugujem dr Mireli i dr Milošu, za njihov osmeh, strpljenje, profesionalnost i toplinu kojom svaki dolazak pretvaraju u najprijatnije iskustvo. Darko MarkovTrustindex verifies that the original source of the review is Google. Pacijent sam ove ordinacije već više od 10 godina i uvek sam izlazio zadovoljan. Radio sam sve od čišćenja kamenca do zahtevnijih intervencija i uvek je sve urađeno bezbolno, temeljno i uz objašnjenje svakog koraka. Dr Mirela i ostatak ekipe su pažljivi, stručni i posvećeni, a atmosfera u ordinaciji je prijatna i opuštajuća. Zaista pružaju osećaj sigurnosti i poverenja. Preporučujem svima koji žele kvalitetnu i profesionalnu stomatološku negu. Milena LukicTrustindex verifies that the original source of the review is Google. The dentists in Queen Dental Clinic are highly skilled, take the time to explain procedures clearly, and always make me feel comfortable and well taken care of. The quality of care is excellent, and I fully trust their expertise and would highly recommend them to anyone looking for a reliable and professional dentist. Jelena MBTrustindex verifies that the original source of the review is Google. Kao i pre 7 godina, sa zadovoljstvom konstatujem da u ordinaciji radi isti tim doktora koji me je i tada kupio i obezbedio sve preporuke svojom strucnoscu, ljubaznoscu, razumevanjem i posvecenoscu resenju problema pacijenta. Sve pohvale timu na celu sa dr Mirelom, a posebna zahvalnost dr Milosu na pristupu koji je smrvio moj kukavicluk.Google rating score: 4.9 of 5, based on 133 reviews
Your braces may seem bulky at first and may affect your speech. The good news is that you will get used to everything very quickly.
You need to know that braces are like a food magnet, so you need to pay much more attention to oral hygiene. Brushing your teeth is almost necessary after every meal because food is very easily retained around the braces and wire. It is especially necessary to clean the interdental spaces so that new caries does not occur during orthodontic therapy.
In our office, you will undergo detailed training in maintaining oral hygiene. We will introduce you to special brushes and other aids to help keep your teeth clean.
There will be no need for any special diets, but you will have to avoid certain foods that can damage the locks (popcorn, hard and sticky candies, hazelnuts, almonds, chewing gum…). It is advisable to brush your teeth even after consuming sweet juices because the sugar on the tooth stays longer while wearing braces.
If oral hygiene is not maintained properly, braces and mobile dentures for children can cause bad breath due to increased retention of bacteria in the mouth.
While wearing braces you are obliged to come for regular check-ups, usually once a month. Our specialists will sometimes do smaller and more frequent tightens, in which case the controls can be once a week or once every two weeks.
If you wear braces and do contact sports, you need to wear a protector specific to that type of sport over your teeth and appliance. Other sports do not require shields but can certainly be useful in accidental kicks.
People who play wind instruments can usually wear braces.
Can braces damage my teeth?
If orthodontic therapy is not performed correctly, permanent damage to the teeth, gums and jawbone can occur. In situations when the therapy is led by an experienced and well-trained orthodontist, such complications are extremely rare. Locks by themselves will not cause a problem but poor cleaning and brushing of teeth, poor nutrition can cause additional caries and damage.
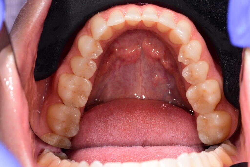
What after the end of therapy?
And step by step, the treatment has been finished. At the beginning you thought that end will never come, but here it is! Look this beautifully aligned teeth!


When the therapy is over, the orthodontist removes the braces, polishes the teeth and reveals your new perfect smile. Not only are the teeth in the correct mutual position and bite, but also the aesthetic moment, a beautiful and healthy smile comes to the fore.
After the end of the therapy, it is necessary to keep the achieved results, with the help of a splint or a wire that is permanently glued on the inside of the tooth. If this phase is not followed, there is a high probability that the teeth will return to their original position.
Braces – types
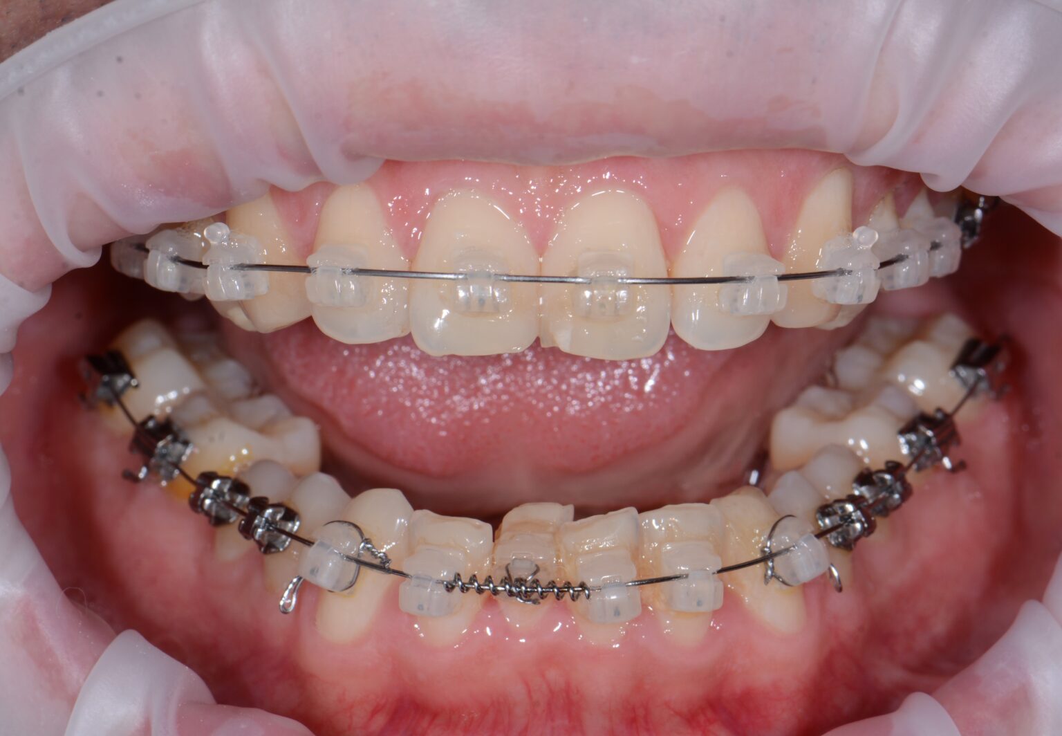
There are several types of braces that are placed on the outside of the teeth, such as self-ligating appliances, either with metal or aesthetic (white) locks.

Compared to a standard braces, self-ligating has a significantly better function and speeds up therapy. During wear, the sensitivity of the teeth is often negligible. A self-ligating fixed device is also more expensive than a standard one. The price varies depending on whether metal or aesthetic locks are used.
The lingual fixed appliance is characterized by the fact that the locks are glued to the inside of the tooth, which makes it completely “invisible.”
Braces – price
The prices for braces vary and depend on the type of prosthesis, the materials from which they are made, the level of dental service and the expertise of the dentist. The cheapest are metal braces, which are also the most visible, followed by ceramic ones. The most expensive are lingual or invisible braces that are placed on the inside and are completely invisible.
These are the approximate prices for braces and can vary from office to office.
- metal self-ligating braces from 1000 €
- Damon transparent braces from 1200 €
- lingual or invisible prosthesis from 2000 €
prices are given per jaw
The price includes whole therapy, monthly controls and tightening of wires, gluing detached locks and more.
The price of the analysis of your situation (taking tooth impressions, model analysis and X-rays) is € 50 and is included in the price of the total therapy. The price of the total therapy is eventually reduced by € 50 as much as the paid analysis.
We enable the payment of braces in several monthly installments.
