Teeth whitening
You’ve probably already heard about teeth whitening, and I believe many of you have tried it. For all of you who have already had your teeth whitened, we don’t have much to add, except to invite you to come to our clinic when you need to whiten your teeth again.

Teeth whitening is a simple procedure which involves removing various discolorations and stains from the tooth surface, while the tooth color itself becomes lighter. It is one of the most popular procedures in dentistry because it can significantly improve the appearance of teeth, without much inconvenience and without high costs.
Depending on the type of teeth whitening, you should come once or twice at the clinic.
You can whiten your teeth at home or in our office, and regardless of which method you choose, the essence is the same. Hydrogen peroxide or carbamide peroxide (the substance found in the whitening gel) penetrates through the tiny microscopic canals of the teeth and discolors the pigments that have accumulated there and that give the tooth a darker discoloration. The result is brighter teeth of course.
Do not worry about some chemical substance penetrating the tooth, teeth whitening is a completely safe procedure that does not damage the teeth.
So how does it start?
Before starting any whitening process, it is necessary to determine the color of your teeth, as well as the condition of the teeth and gums.

If everything is fine with that, together we decide what type of whitening process suits you best.
So here is a brief description about both types so that you can make the right decision.
Home teeth whitening
Whitening at home using the individual splint method is a very effective way to achieve a beautiful and bright smile. The patient himself applies the whitening gel to the appropriate splint, which is made for him by our dentists, puts the splint on his teeth and wears them for an hour or two a day.
The treatment lasts from 8 to 10 days. The time required for maximum teeth whitening depends on how dark the teeth are, that is, how much the teeth are saturated with dark pigments. And it is very individual. Some teeth whiten in a few days and some need even 3 weeks. If it takes longer for your teeth to whiten, it is useful to take a break of one week after 10 days of whitening and after that repeat procedure again.


What are the activities before home teeth whitening?
Home whitening involves taking an impression or scans of the patient’s teeth and making individual foils in which the whitening gel is placed.
So what are the pros and cons of home whitening?
The advantage is that you can continuously whiten your teeth without a dentist, you only need to buy the whitening gel when you use it.
And the disadvantage is that the concentration of bleach material in the home whitening gel is much lower compared to the office whitening gel. That is why it is more difficult to get a completely white shade of teeth, so you have to be more persistent.
Office teeth whitening with a lamp

Teeth whitening in office is a completely safe and relatively painless procedure that gives immediate results. It can be done with laser, lamp or with gel only. What will activate bleaching gel – lamp, laser or self activation, depends on the product.
The system is based on the application of hydrogen peroxide in a gel, which is applied to the teeth. A special UV lamp, which does not heat or damage the teeth, has the role of speeding up the teeth whitening process.
So how it goes?
Before the treatment, the current color of the patient’s teeth is determined, then the patient’s gums are protected with a special gel, and finally the gel is applied to the teeth that need to be whitened.

After 30-45 minutes of lamp treatment, or treatment only with a gel, the teeth become 2 to 4 shades lighter, which depends on many individual factors. The durability of teeth whitening is completely individual and depends on several factors.
If your teeth are not white enough in that first visit, we repeat whitening next day or in a couple of days.

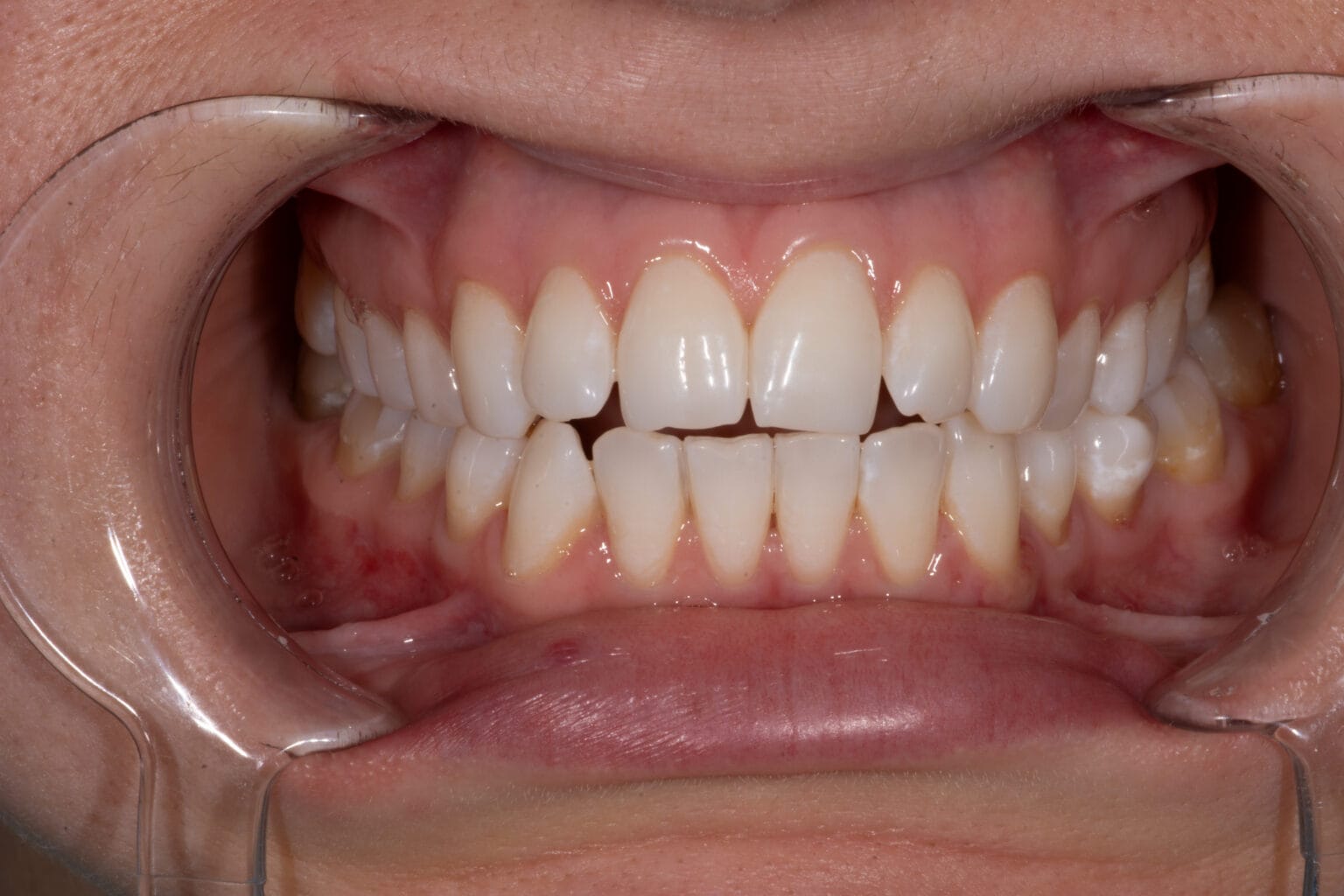
This is usual color that we get after one visit. Most people are satisfied with color like this.

But if you would like very white color, we can repeat whitening in couple of days. And then we get color similar to the one on photo above.
We never know in advance exactly how much your teeth will whiten because it is very individual and mostly depends on the internal natural pigment of the teeth.
After office teeth whitening, there is a possibility that the teeth will be more sensitive than before to too cold, warm, sweet and sour, because all dental canals are open and significantly more passable for registering irritation from the oral cavity.
No worries! Such sensitivity will disappear in day or two. Just avoid very cold drinks and exposing the teeth to the air. Talk as less as possible in that period :).
Teeth whitening with a lamp or laser is about 40% more efficient than whitening at home, and the duration of treatment is significantly shorter.
The advantage of in office teeth whitening is that you get white teeth fast with no much trouble and cost. But when your natural color appears again, the only way to whiten the teeth again is to repeat whole process.
How long the teeth will remain white?
Well, nobody can give that answer for sure. Usually they say that it depends on the food and drink you take, but our experience says that it has to do with your natural teeth color.
We have noticed that patients who have yellow teeth, that their color returns quickly. Conversely, in patients with naturally white teeth, bleached teeth last up to a year.
Let’s say that the durability of teeth whitening is from several months to a year, and it does not depend much on whether you consume coffee, dark and discolored drinks etc.
You will probably read somewhere in advertisements that teeth whitening is permanent, please don’t believe that, permanent teeth whitening does not exist.
If you want to permanently change the color of your teeth, consider ceramic veneers because only ceramics in the mouth do not change color over time.
Wondering what the cost of teeth whitening is in your case? Schedule a detailed examination and consultation with our experts.
